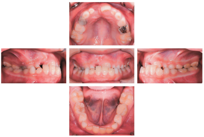
7歳の男児。前歯の咬み合わせが反対になっていることを主訴として来院した。乳歯列も同様であったという。診断の結果、矯正治療を開始することとした。初診時の顔面写真、口腔内写真及びエックス線画像を別に示す。セファロ分析の結果を図に示す。
第一期治療で行うのはどれか。3つ選べ。
a. 下顎骨の成長抑制
b. 上顎骨の前方牽引
c. 下顎前歯の舌側傾斜
d. 上顎歯列の側方拡大
e. 上顎右側中切歯の萌出誘導
前のページへ
次のページへ