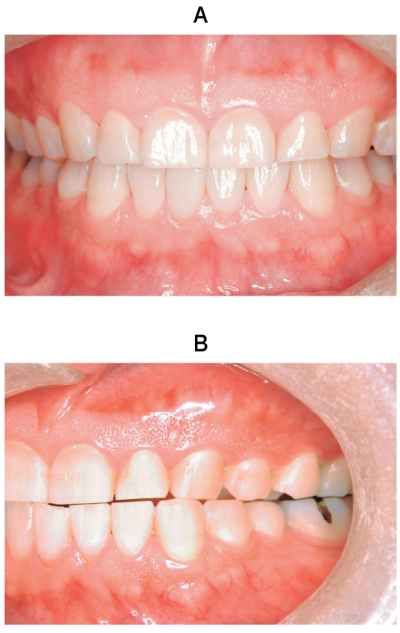
30 歳の男性。睡眠中の歯ぎしりを主訴として来院した。数年前から歯ぎしり音を家族に指摘されていたという。検査の結果、ある口腔内装置を装着することとした。初診時の口腔内写真と側方運動時の口腔内写真、使用前の装置の写真及び1週使用後の装置の写真を別に示す。
本装置について正しいのはどれか。1つ選べ。
a. 開口量を抑制する。
b. 側方滑走を抑制する。
c. 歯の咬耗進行を防ぐ。
d. 終日装着が必要である。
e. 清掃時には熱湯に浸す。
前のページへ
次のページへ