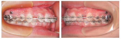
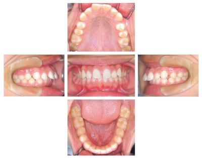
15歳の男子。前歯の前突感を主訴として来院した。非抜歯でマルチブラケット装置を用いて矯正治療を行うこととした。初診時の口腔内写真と治療中の口腔内写真を別に示す。セファロ分析の結果を図に示す。
下の画像で行われているのはどれか。1つ選べ。
a. 上顎犬歯の遠心移動
b. 上顎歯列弓幅径の拡大
c. 上顎第一大臼歯の挺出
d. 上顎4前歯の舌側移動
e. 上顎第一大臼歯の近心移動
前のページへ
次のページへ