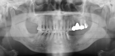
77 歳の男性。右側舌根部の疼痛を主訴として来院した。4か月前から舌を動かすと痛いという。初診時のエックス線画像を別に示す。
関連するのはどれか。1つ選べ。
a. 筋突起
b. 関節突起
c. 茎状突起
d. 乳様突起
e. 翼状突起
前のページへ
次のページへ