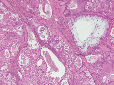
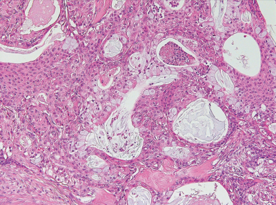
43 歳の女性。口蓋部の腫瘤を主訴として来院した。2か月前に無痛性腫瘤に気付いたという。圧痛はなく、触診にて弾性硬である。初診時の口腔内写真と摘出物の H-E 染色病理組織像を別に示す。診断名はどれか。1つ選べ。
a. 多形腺腫
b. 粘表皮癌
c. 腺様囊胞癌
d. 偏平上皮癌
e. 悪性リンパ腫
前のページへ
次のページへ