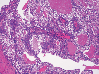
43 歳の女性。口蓋部の腫脹を主訴として来院した。3年前に気付き、その後徐々に大きくなったという。腫脹は弾性硬である。初診時の口腔内写真、MRI T2 強調像及び生検時の H-E染色病理組織像を別に示す。
診断名はどれか。1つ選べ。
a. 多形腺腫
b. 粘表皮癌
c. 腺房細胞癌
d. 腺様囊胞癌
e. Warthin 腫瘍
前のページへ
次のページへ