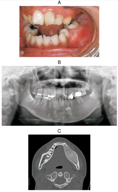
24 歳の女性。下顎左側臼歯部歯肉の膨隆を主訴として来院した。1年前に気付いたが、疼痛がないためそのままにしていたという。初診時の口腔内写真、エックス線画像 、CT及び生検時の H-E染色病理組織像を別に示す。
この疾患を併発しやすいのはどれか。1つ選べ。
a. ケルビズム
b. Gardner 症候群
c. 基底細胞母斑症候群
d. 鎖骨頭蓋骨異形成症
e. McCune-Albright 症候群
前のページへ
次のページへ