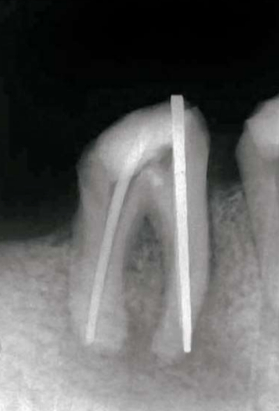
65 歳の男性。下顎右側第一大臼歯部歯肉の腫脹を主訴として紹介により来院した。6か月前に同部の治療を受けたが、2週前から歯肉が腫脹したという。再根管治療を行うこととし、根管を確認するためポイントを挿入してエックス線検査を行った。検査時のエックス線画像を別に示す。
最も疑われるのはどれか。1つ選べ。
a. 穿 孔
b. 器具破折
c. 歯根破折
d. 側枝の存在
e. レッジの形成
前のページへ
次のページへ