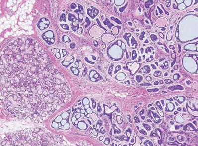
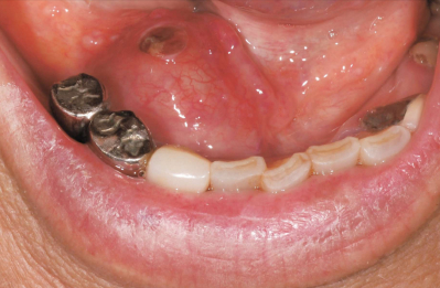
口底部の腫瘤の口腔内写真と生検時の H-E 染色病理組織像を別に示す。この疾患の特徴はどれか。2つ選べ。
a. 遠隔転移しやすい。
b. 放射線感受性が高い。
c. 明瞭な被膜を有する。
d. リン パ節転移はない。
e. 神経組織への浸潤が多い。
前のページへ
次のページへ