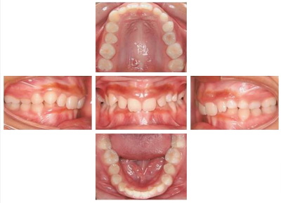
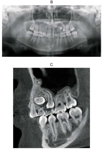
13 歳の女子。歯並びが悪いことを主訴として来院した。初診時の口腔内写真、エックス線画像及び歯科用コーンビーム CTを別に示す。正しい所見はどれか。2つ選べ。
a. 1⏊1の低位
b. ⎿3の遠心傾斜
c. ⎿4の水平埋伏
d. ⎿5の歯根彎曲
e. ⎿7の萌出遅延
前のページへ
次のページへ