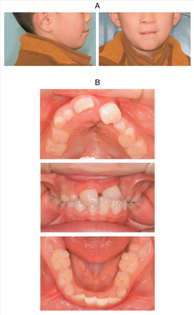
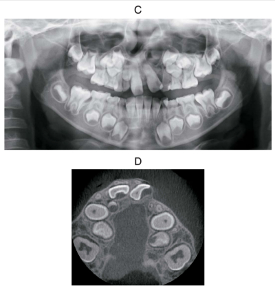
7歳の男児。前歯の歯並びが悪いことを主訴として来院した。口唇裂と口蓋裂に対する手術の既往がある。初診時の顔面写真、口腔内写真、エックス線画像及び歯科用コーンビーム CTを別に示す。セファロ分析の結果を図に示す。まず行うのはどれか。2つ選べ。
a. 顎裂部への骨移植
b. 上顎歯列の側方拡大
c. 上顎前歯の唇側傾斜
d. 下顎骨の前方成長抑制
e. 上顎骨の前方成長促進
前のページへ
次のページへ