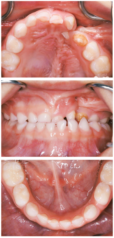
4歳の男児。定期的な口腔管理を希望して来院した。生後3か月時に口唇閉鎖術、1歳2か月時に口蓋形成術を受けたという。来院時の顔貌写真と口腔内写真を別に示す。現時点で行うべき対応はどれか。2つ選べ。
a. 食事指導
b. 過剰歯の抜去
c. 口腔衛生指導
d. 上唇小帯切除術
e. 上顎左側乳中切歯の抜去
前のページへ
次のページへ