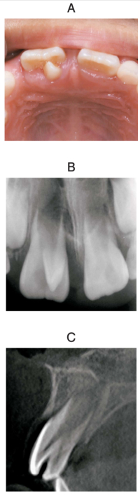
上顎右側中切歯の口腔内写真、エックス線画像及び歯科用コーンビーム CTを別に示す。この異常が発生する時期はどれか。1つ選べ。
a. 胎生2週〜胎生4週
b. 胎生6週〜胎生3か月
c. 胎生5か月〜生後2か月
d. 生後4か月〜生後6か月
e. 生後6か月〜生後1年
前のページへ
次のページへ