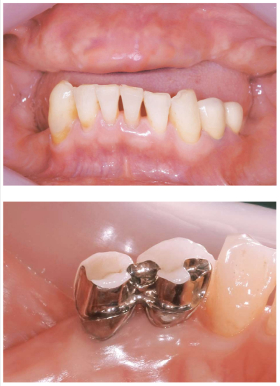
76 歳の男性。部分床義歯支台歯のクラウン脱離を主訴として来院した。2か月前、下顎左側第一小臼歯と第二小臼歯のクラウンが脱離したという。検査の結果、⎾45のクラウンと上下顎義歯を再製作することとした。完成したクラウンを試適して適合を確認後、試適したまま予備印象を行った。クラウン試適時の口腔内写真を別に示す。
次回来院時に行うのはどれか。1つ選べ。
a. 咬合採得
b. クラウンの合着
c. ピックアップ印象
d. オルタードキャスト法
e. フレームワークの試適
前のページへ
次のページへ