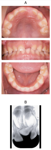
3歳の女児。上顎左側乳中切歯部の精査を希望して来院した。初診時の口腔内写真とエックス線画像を別に示す。
適切な対応はどれか。1つ選べ。
a. 経過観察
b. ⎿Aの開窓牽引
c. ⎿Aの再植
d. ⎿Aの抜歯後、保隙装置装着
e. ⎿Aの抜歯後、⎿1の牽引
前のページへ
次のページへ