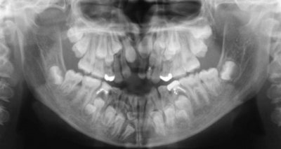
13 歳の女子。前歯が嚙まないことを主訴として来院した。低身長である。初診時の顔面写真、口腔内写真及びエックス線画像を別に示す。

セファロ分析の結果を図に示す。


認められるのはどれか。2つ選べ。

a. 下顎角の開大

b. 上顎骨の過成長

c. 前歯の萌出遅延

d. 第一大臼歯の挺出

e. デンタルコンペンセーション

解答を見る

適切な治療方針はどれか。3つ選べ。

a. 過剰歯の抜去

b. 残存乳歯の抜去

c. 埋伏歯の開窓牽引

d. 下顎切歯の唇側傾斜

e. 上顎大臼歯の遠心移動

解答を見る