MENU
home
菌娘らぼ
医学語呂なう
過去問チャート
ホルモンズ
医療電卓
blog
about
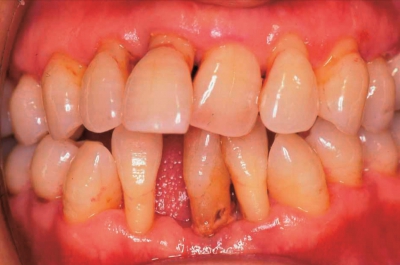
第109回 A問題 54問目 - 109A054
109A
ブラッシング法
63 歳の女性。下顎前歯の歯間部歯肉の腫脹を主訴として来院した。口腔内写真を別に示す。プラークを除去するブラッシング法に加えて、歯肉のマッサージを行う場合に適切なのはどれか。1つ選べ。
a. バス法
b. ローリング法
c. スティルマン法
d. チャーターズ法
e. スティルマン改良法
解答を見る
解答なし
前のページへ
次のページへ