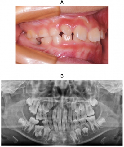
9歳の男児。右側臼歯部の咀嚼困難を主訴として来院した。検査の結果、まず上顎右側第一大臼歯の開窓を行うこととした。初診時の口腔内写真とエックス線写真を示す。
次に行うのはどれか。1つ選べ。
a. 下顎右側第一乳臼歯の形態修正
b. 下顎右側第一乳臼歯の抜去
c. 下顎右側第二乳臼歯の牽引
d. 上顎右側第二乳臼歯の抜去
e. 下顎右側第一大臼歯の整直
前のページへ
次のページへ