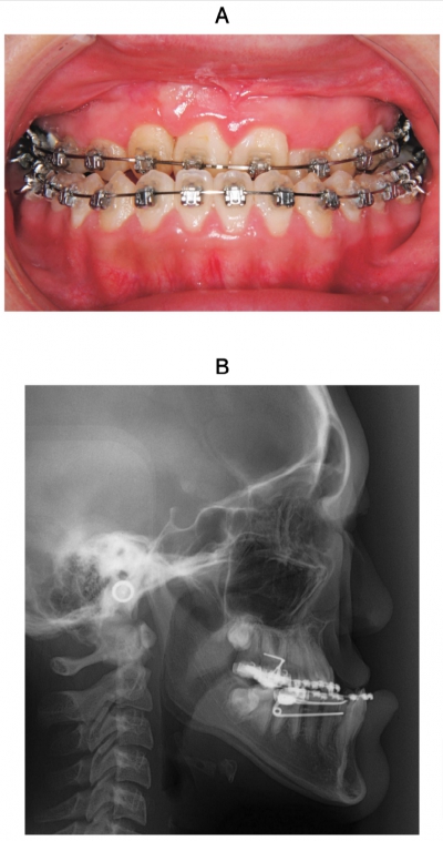
19歳の女性。反対咬合を主訴として来院した。術前矯正治療後に顎矯正手術を行うこととした。術前矯正中の口腔内写真、頭部エックス線規格写真及び手術中の写真を示す。
行っている手術はどれか。1つ選べ。
クリックで拡大します。
a. Köle法
b. Kostečka法
c. Le FortⅠ型骨切り術
d. Obwegeser-Dal Pont法
e. Wassmund-Wunderer法
前のページへ
次のページへ