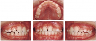
9歳の女児。咬み合わせが悪いことを主訴として来院した。大動脈二尖弁があるという。性腺の未発達と翼状頸を示し、精神発達遅滞は認められない。身長は同年齢の女児の標準値より13cm低かった。初診時の口腔内写真を示す。
疑われる疾患はどれか。1つ選べ。
a. Down症候群
b. Turner症候群
c. Crouzon症候群
d. Robinシークエンス
e. Beckwith-Wiedemann症候群
前のページへ
次のページへ