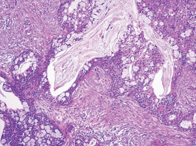
25歳の女性。右側口蓋部の無痛性腫脹を主訴として来院した。1年前から軽度の腫脹に気付いていたがそのままにしていたところ、最近徐々に増大したという。同部に波動や圧痛はない。初診時の口腔内写真、CT、MRI T2強調像及び生検時のH-E染色病理組織像を示す。
診断名はどれか。1つ選べ。
a. 筋上皮腫
b. 多形腺腫
c. 粘表皮癌
d. 腺様囊胞癌
e. 扁平上皮癌
前のページへ
次のページへ