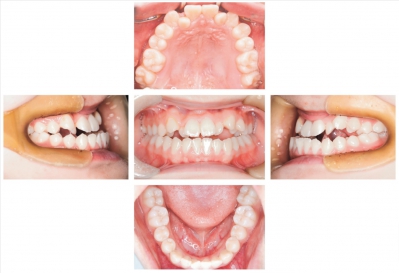
20歳の女性。下顎の前突感を主訴として来院した。診断の結果、外科的矯正治療を行うこととした。初診時の顔面写真と口腔内写真を別に示す。初診時セファロ分析の結果および初診時のセファログラムのトレースと治療予測図の重ね合わせを図に示す。
治療方針はどれか。1つ選べ。
前のページへ
次のページへ