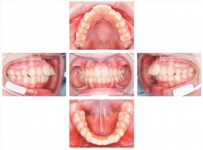
15歳の女子。口唇が閉じにくいことを主訴として来院した。永久前歯萌出後、咬み合わせに大きな変化はないという。11歳時に初潮を迎えたという。初診時の顔面写真、口腔内写真及び口腔模型の写真を別に示す。セファロ分析の結果を図に示す。
適切な治療目標はどれか。2つ選べ。
a. 上顎大臼歯の挺出
b. 下顎前歯の唇側移動
c. 上顎前歯の舌側傾斜
d. 下顎骨の前方成長促進
e. 下顎大臼歯の近心移動
前のページへ
次のページへ