MENU
home
菌娘らぼ
医学語呂なう
過去問チャート
ホルモンズ
医療電卓
blog
about
第111回 B問題 87問目 - 111B087
111B
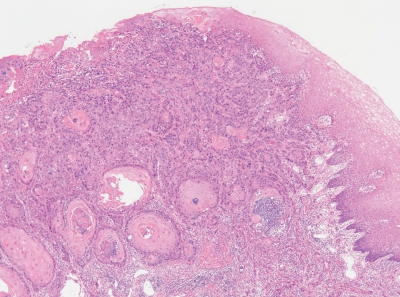
67 歳の男性。下顎前歯部歯肉の腫脹を主訴として来院した。1か月前に気付き、徐々に大きくなってきたという。オトガイ部の感覚に異常はなく、顎下リンパ節とオトガイ下リンパ節の腫脹もない。初診時の口腔内写真、エックス線画像及び生検時の H-E 染色病理組織像を別に示す。
適切な治療法はどれか。1つ選べ。
a. 歯肉切除
b. 32⏋の抜歯
c. 下顎辺縁切除
d. 下顎区域切除
e. 放射線治療
解答を見る
c. 下顎辺縁切
前のページへ
次のページへ