67歳の男性。全身倦怠感と微熱とを主訴に来院した。1か月前から全身倦怠感を自覚し、1週前から37℃台前半の微熱が持続していた。数日前から、歯肉からの出血もみられた。
体温37.4 ℃。眼瞼結膜は貧血様だが眼球結膜に黄染を認めない。口腔粘膜に点状出血と咽頭に軽度の発赤とを認める。表在リンパ節は触知しない。心基部を最強点とするⅡ/Ⅵの収縮期駆出性雑音を聴取する。腹部は平坦、軟で、肝・脾は触知しない。両側下腿に紫斑を認める。
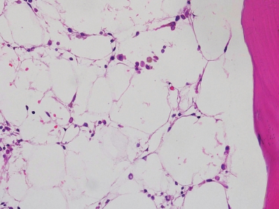
血液所見:赤血球 157万、Hb 5.7 g/dL、Ht 15%、網赤血球 0.3%、白血球 1,800(桿状核好中球 5%、分葉核好中球 13%、好酸球 3%、好塩基球 1%、単球 6%、リンパ球 72%)、血小板 1.3万、PT 99%(基準80~120)、APTT 29秒(基準対照 32.2)、血漿フィブリノゲン 286 mg/dL(基準 200~400)、血清FDP 10 μg/mL以下(基準 10以下)。血液生化学所見:総蛋白 7.0 g/dL、アルブミン 4.2 g/dL、ハプトグロビン 74 mg/dL(基準19~170)、総ビリルビン 0.6 mg/dL、AST 28 U/L、ALT 22 U/L、LD 287 U/L(基準 176~353)、尿素窒素 18 mg/dL、クレアチニン 0.8 mg/dL、尿酸3.6mg/dL、Fe 325 μg/dL。CRP 1.3 mg/dL。骨髄生検のH-E染色標本を別に示す。
対応として最も適切なのはどれか。
a. 経過観察
b. 同種造血幹細胞移植
c. 蛋白同化ホルモンの投与
d. エリスロポエチン製剤の投与
e. シクロスポリンと抗胸腺細胞グロブリン(ATG)の併用療法
