25歳の男性。下腿の浮腫を主訴に来院した。2か月前に下腿に靴下のゴムの痕が付くことに気付いた。徐々にその程度が強くなってきたため受診した。
身長170cm、体重65kg。体温36.0 ℃。脈拍72/分、整。血圧140/86mmHg。顔面と下腿とに浮腫を認める。
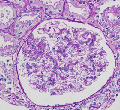
尿所見:蛋白3+、潜血1+、沈渣に赤血球5~10/1視野、顆粒円柱1個/数視野、卵円形脂肪体1~4/1視野、尿蛋白4.8g/日。血液生化学所見:総蛋白4.5g/dL、アルブミン1.8g/dL、IgG 547mg/dL (基準960~1,960)、IgA 250mg/dL(基準110~410)、IgM 67mg/dL(基準65~350)、尿素窒素20mg/dL、クレアチニン1.1mg/dL、トリグリセリド240mg/dL、LDLコレステロール220mg/dL。ASO 180単位(基準250以下)。腎生検のPAS染色標本を別に示す。
この患者で正しいのはどれか。
a. 腎機能の予後は悪い。
b. 補体の低下を認める。
c. 尿蛋白の選択性は高い。
d. 悪性腫瘍を合併しやすい。
e. A群β溶連菌感染後に発症する。
