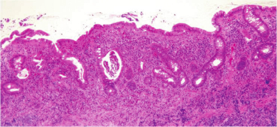
50歳の男性。2か月前から続く下痢と粘血便とを主訴に来院した。1週前から1日に6、7回の粘血便を認めている。海外渡航歴はない。
身長164cm、体重54kg。体温37.8℃。脈拍88/分、整。血圧120/60mmHg。眼瞼結膜は軽度貧血様である。内視鏡検査では結腸に多発性のびらんと潰瘍とを認める。採取された結腸粘膜生検組織のH-E染色標本を別に示す。
本標本に認められる所見はどれか。3つ選べ。
a. 静脈瘤
b. 陰窩膿瘍
c. 杯細胞の減少
d. 過形成性ポリープ
e. びまん性炎症細胞浸潤
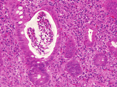
50歳の男性。2か月前から続く下痢と粘血便とを主訴に来院した。1週前から1日に6、7回の粘血便を認めている。海外渡航歴はない。
身長164cm、体重54kg。体温37.8℃。脈拍88/分、整。血圧120/60mmHg。眼瞼結膜は軽度貧血様である。内視鏡検査では結腸に多発性のびらんと潰瘍とを認める。採取された結腸粘膜生検組織のH-E染色標本を別に示す。
本標本に認められる所見はどれか。3つ選べ。
a. 静脈瘤
b. 陰窩膿瘍
c. 杯細胞の減少
d. 過形成性ポリープ
e. びまん性炎症細胞浸潤
過去問チャートは、医療系国家試験の過去問をテーマ別に整理・解説した無料の学習サービスです。
※公式問題・正答は厚生労働省公開資料をもとに整理しています。
システム設計・解説記入:米澤 昌紘(X : @leknyan)
(医師/日本橋内科クリニック院長)