61 歳の女性。腹痛を主訴に来院した。1日前から上腹部の鈍痛を自覚し、次第に増悪してきたため受診した。腹痛は持続性であり、心窩部から臍周囲まで広範囲に認め、限局していないがやや右側に強い。悪心はあるが嘔吐はない。
体温 37.4℃。脈拍 72/分、整。血圧 120/72 mmHg。呼吸数 16/分。同部位に圧痛と軽度の反跳痛を認めるが筋性防御を認めない。便は軟便であるが水様下痢ではなく、血液は混じっていない。腸雑音はやや低下し、金属音は聴取しない。
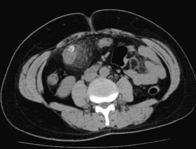
血液所見:赤血球432 万、Hb 13.1 g/dL、Ht 39 %、白血球 15,500(桿状核好中球 32 %、分葉核好中球 58 %、好酸球1%、好塩基球1%、リンパ球8%)、血小板 29 万。血液生化学所見:尿素窒素 10 mg/dL、クレアチニン 0.7 mg/dL。CRP 5.7 mg/dL。腹部超音波検査で肝臓と胆囊とに異常を認めない。腹部 CT の水平断像と冠状断像とを別に示す。
治療として適切なのはどれか。
a. 抗菌薬投与
b. 大腸切除術
c. 虫垂切除術
d. イレウス管による減圧術
e. 体外衝撃波結石破砕術<ESWL>
