医師免許申請用診断書

50歳の女性。右乳房のしこりを主訴に来院した。2年前から右乳房の 2cm 大の腫瘤に気付いていたが、あまり変化がないため医療機関を受診していなかった。4か月前から増大し痛みを伴ってきたため心配になり受診した。

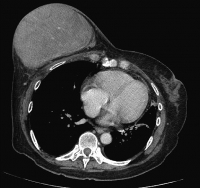
右乳房腫瘤は長径 17 cm で、弾性軟、胸壁への固定を認めない。皮膚には発赤や腫瘤の浸潤を認めない。腋窩リンパ節を触知しない。胸部 CTを別に示す。

最も可能性が高いのはどれか。

a. 乳腺炎

b. 乳腺症

c. 乳腺線維腺腫

d. 乳腺葉状腫瘍

e. 乳管内乳頭腫

解答を見る

過去問チャートは、医療系国家試験の過去問をテーマ別に整理・解説した無料の学習サービスです。
※公式問題・正答は厚生労働省公開資料をもとに整理しています。


システム設計・解説記入:米澤 昌紘(X : @leknyan
(医師/日本橋内科クリニック院長)