医師免許申請用診断書

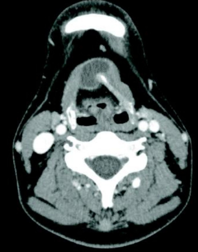
36歳の男性。前頸部腫瘤を主訴に来院した。2か月前に初めて自覚したが、その後、腫瘤の大きさに変化はない。前頸部傍正中の舌骨付近に半球状、単発の25×25mmの柔らかい腫瘤を触れる。嚥下時にこの腫瘤は挙上する。頸部造影CTを別に示す。

診断はどれか。

a. 側頸嚢胞

b. 皮様嚢胞

c. 正中頸嚢胞

d. 腺腫様甲状腺腫

e. 嚢胞状リンパ管腫

解答を見る

過去問チャートは、医療系国家試験の過去問をテーマ別に整理・解説した無料の学習サービスです。
※公式問題・正答は厚生労働省公開資料をもとに整理しています。


システム設計・解説記入:米澤 昌紘(X : @leknyan
(医師/日本橋内科クリニック院長)