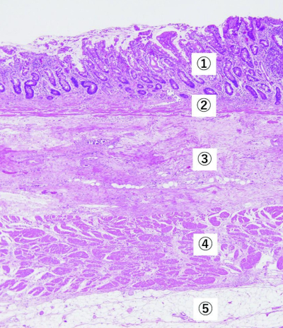
胃の正常組織の H-E 染色標本を別に示す。粘膜下層はどれか。
a. ①
b. ②
c. ③
d. ④
e. ⑤
①粘膜層②粘膜筋板③粘膜下層 ④固有筋層⑤漿膜下層
前のページへ
次のページへ
過去問チャートは、医療系国家試験の過去問をテーマ別に整理・解説した無料の学習サービスです。※公式問題・正答は厚生労働省公開資料をもとに整理しています。
システム設計・解説記入:米澤 昌紘(X : @leknyan)(医師/日本橋内科クリニック院長)