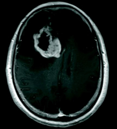
63 歳の女性。頭痛と行動異常を主訴に来院した。3か月前から起床時の頭痛を自覚し、徐々に悪心を伴うようになってきたため受診した。2か月前から約束を間違える、着衣がうまくできないなどの異常に家族が気付いていたという。
意識レベルは JCSⅠ-2。脈拍 68/分、整。血圧 142/88 mmHg。神経診察で左不全片麻痺を認める。頭部造影 MRIを別に示す。入院し、開頭腫瘍摘出術を施行した。病変部の H-E 染色標本を別に示す。
診断はどれか。
a. 膠芽腫
b. 髄膜腫
c. 脳膿瘍
d. 悪性リンパ腫
e. 多発性硬化症
