64 歳の男性。右下肢のしびれと体重減少を主訴に来院した。1か月前から右下肢のしびれと食欲低下が続き、体重が3kg 減少したため受診した。半年前の健康診断で初めて高血糖を指摘されたが、腎障害は指摘されていなかった。
身長 170cm、体重 58 kg。体温 37.0 ℃。脈拍 92/分、整。血圧 148/86 mmHg。呼吸数16/分。心音と呼吸音とに異常を認めない。下腿に浮腫と紫斑とを認めない。
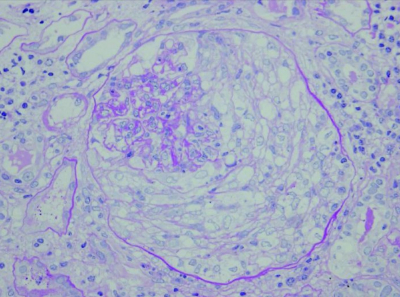
尿所見:蛋白3+、糖(-)、潜血2+、沈渣は赤血球 30〜49/HPF、顆粒円柱 1〜4/HPF。血液所見:赤血球 311 万、Hb 9.5 g/dL、Ht 29 %、白血球 9,500(分葉核好中球 63 %、好酸球 4 %、好塩基球 1 %、単球 7 %、リンパ球 25 %)、血小板 24万。血液生化学所見:総蛋白 6.8 g/dL、アルブミン 3.0 g/dL、尿素窒素 69mg/dL、クレアチニン 4.3 mg/dL、血糖 122 mg/dL、HbA1c 6.3 % (基準4.6〜6.2)、総コレステロール 266 mg/dL、トリグリセリド 160 mg/dL、Na 140mEq/L、K 6.0 mEq/L、Cl 110 mEq/L、Ca 8.6 mg/dL、P 5.0 mg/dL。免疫血清学所見:CRP 3.5 mg/dL、CH50 54 U/mL(基準 30〜40)。腎生検の PAS 染色標本を別に示す。
最も考えられるのはどれか。
a. 糖尿病腎症
b. 悪性腎硬化症
c. 顕微鏡的多発血管炎
d. 感染後急性糸球体腎炎
e. コレステロール塞栓症
