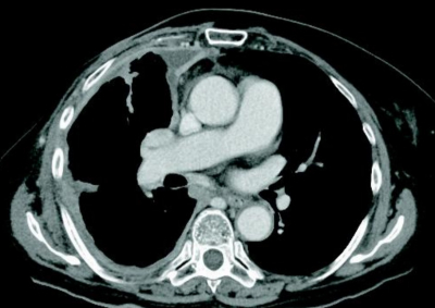
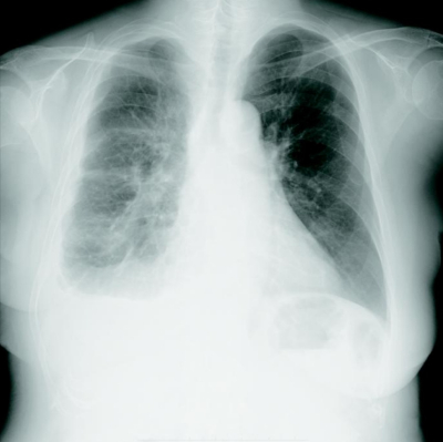
65 歳の女性。胸痛を主訴に来院した。1か月前から右胸痛を自覚していたが改善しないため受診した。13 年前に右乳癌で手術の既往がある。30 年前から建設業に従事していた。呼吸音は右下胸部で減弱、胸部の打診で右背側に濁音を認めた。
胸部エックス線写真、胸部造影CT及びFDG-PET/CTを別に示す。胸腔鏡下生検を施行した結果、カルレチニン免疫組織染色が陽性である悪性細胞を認めた。
この患者で高値を示すのはどれか。
a. 胸水ヒアルロン酸
b. 胸水トリグリセリド
c. 血清 α-フェトプロテイン<AFP>
d. 胸水アデノシンデアミナーゼ<ADA>
e. 血清アンジオテンシン変換酵素<ACE>
