医師免許申請用診断書

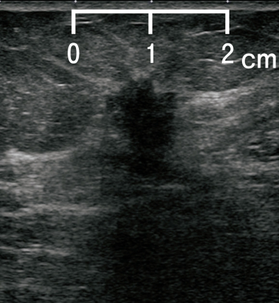
77歳の女性。肺がん検診の低線量CTで左乳房腫瘤を指摘されたため受診した。マンモグラム及び乳房超音波像を別に示す。

次に行うのはどれか。

a. 造影CT

b. 造影MRI

c. 経皮的針生検

d. FDG-PET/CT

e. 骨シンチグラフィ

解答を見る

過去問チャートは、医療系国家試験の過去問をテーマ別に整理・解説した無料の学習サービスです。
※公式問題・正答は厚生労働省公開資料をもとに整理しています。


システム設計・解説記入:米澤 昌紘(X : @leknyan
(医師/日本橋内科クリニック院長)