63歳の男性。腹痛、腹部膨隆を主訴に来院した。2年前から臍部の膨隆がみられていたが、これまで臥位で自然消失していた。3時間前から臍部は膨隆したままであり、腹痛が増悪するため受診した。4年前からアルコール性肝硬変で入退院を繰り返している。腹部手術の既往はない。
来院時、意識は清明。身長169cm、体重68kg。体温36.5℃。脈拍58/分、整。血圧178/94mmHg。眼瞼結膜と眼球結膜に異常を認めない。心音と呼吸音に異常を認めない。腹部は膨隆、緊満し波動を認め、腸雑音は亢進している。臍部に膨隆がみられる。
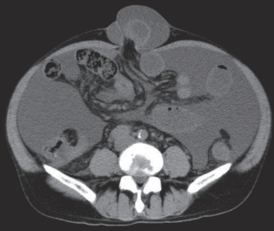
血液所見:赤血球395万、Hb 12.0g/dL、Ht 36%、白血球5,800、血小板9.0万。血液生化学所見:総蛋白5.1g/dL、アルブミン2.1g/dL、総ビリルビン0.5mg/dL、AST 62U/L、ALT 54U/L、LD 252U/L(基準120~245)、ALP 85U/L(基準38~113)、γ-GT 59U/L(基準8~50)、アミラーゼ90U/L(基準37~160)、尿素窒素25mg/dL、クレアチニン1.7mg/dL、血糖195mg/dL、Na 138mEq/L、K 4.8mEq/L、Cl 107mEq/L。CRP 0.2mg/dL。腹部単純CTを別に示す。徒手整復を試みたが成功しなかった。
この患者に行う対応について適切なのはどれか。
a. 緊急手術を行う。
b. 下剤を投与する。
c. 鎮痛薬を投与する。
d. 徒手整復を繰り返す。
e. 臍膨隆部の穿刺を行う。
