76歳の男性。喀痰の増悪を主訴に入所している介護施設の職員に伴われて来院した。8年前に胃癌に対して胃全摘術を受けた。その後体重減少をきたし、5年前から喀痰が出現した。1週間前から喀痰量が増加し喀出困難となったため受診した。
身長 157 cm、体重 41 kg。体温 37.5 ℃。脈拍 72/分、整。血圧 134/84 mmHg。呼吸数 18/分。SpO2 96%(room air)。両側の胸部にcoarse cracklesを聴取する。皮膚のツルゴールは低下している。
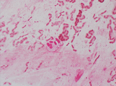
血液所見:赤血球 424万、Hb 13.6 g/dL、Ht 28%、白血球 11,400(好中球 81%、単球 5%、リンパ球 14%)、血小板 35万。血液生化学所見:総蛋白 7.9 g/dL、血清アルブミン 2.7 g/dL。尿素窒素 37 mg/dL、クレアチニン 0.8 mg/dL。CRP 13 mg/dL。喀痰Gram染色標本を別に示す。
補液を開始し、この微生物の同定および薬剤感受性試験の結果を待つ間に投与を開始すべき抗菌薬はどれか。
a. セファゾリン
b. ピペラシリン
c. バンコマイシン
d. クリンダマイシン
e. ベンジルペニシリン
