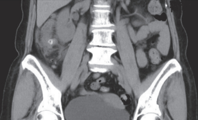
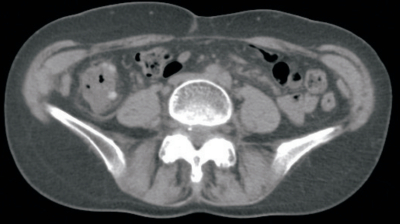
32歳の男性。腹痛を主訴に来院した。昨日から右下腹部痛が出現し改善しないため受診した。18歳時に虫垂炎のため虫垂切除を受けている。
体温 37.0 ℃。脈拍 80/分、整。血圧 132/80 mmHg。腹部は平坦で、右下腹部に圧痛と軽度の反跳痛を認める。腸雑音は減弱している。
血液所見:赤血球 476万、Hb 15.3 g/dL、Ht 43%、白血球 12,400(好中球 75%、好酸球 1%、好塩基球 1%、単球 4%、リンパ球 19%)、血小板 25万。血液生化学所見:AST 34 U/L、ALT 60 U/L、尿素窒素 12 mg/dL、クレアチニン 0.9 mg/dL。CRP 3.6 mg/dL。腹部単純CTを別に示す。
この画像所見から最も考えられる疾患はどれか。
a. 大腸癌
b. 便秘症
c. 腸結核
d. 虚血性腸炎
e. 大腸憩室炎
