46歳の女性。職場の健康診断で施行された胸部エックス線検査で異常を指摘されたため精査目的で来院した。自覚症状はない。喫煙歴はない。飲酒は機会飲酒。
意識は清明。身長 161 cm、体重 49 kg。脈拍 72/分、整。血圧 132/80 mmHg。SpO2 97%(room air)。呼吸音と心音に異常を認めない。
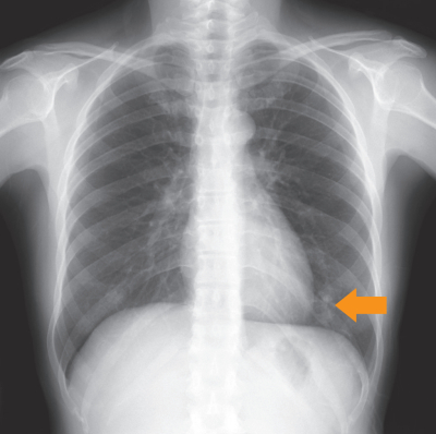
血液所見:赤血球428万、Hb 12.1 g/dL、Ht 37%、白血球 3,700、血小板 19万。血液生化学所見:総蛋白 7.2 g/dL、アルブミン 4.1 g/dL、クレアチニン 0.6 mg/dL、HbA1c 5.8%(基準 4.6~6.2)。胸部エックス線写真で左下肺野に矢印で示す結節影を認めたため、入院精査の方針となった。選択的肺動脈造影と胸部単純CTを別に示す。
本疾患に合併しやすい病態でないのはどれか。
a. 喀血
b. 脳梗塞
c. 脳膿瘍
d. ぶどう膜炎
e. 感染性心内膜炎
