21歳の男性。発熱と全身倦怠感を主訴に来院した。1週間前に38.5℃の発熱と咽頭痛があり自宅近くの診療所を受診した。解熱鎮痛薬を処方され咽頭痛は軽快したが発熱は続いた。3日前から全身倦怠感も出現し増悪するため受診した。
身長 165 cm、体重 58 kg。脈拍 112/分、整。血圧 108/58 mmHg。眼瞼結膜は貧血様で、眼球結膜に黄染を認める。咽頭に発赤を認める。両側の頸部に圧痛を伴う径1.5cmのリンパ節を数個触知する。胸骨右縁第2肋間を最強点とするLevine 2/6の収縮期駆出性雑音を聴取する。呼吸音に異常を認めない。腹部は平坦、軟で、圧痛を認めない。右肋骨弓下に肝を2cm、左肋骨弓下に脾を3cm触知する。四肢に紫斑を認める。
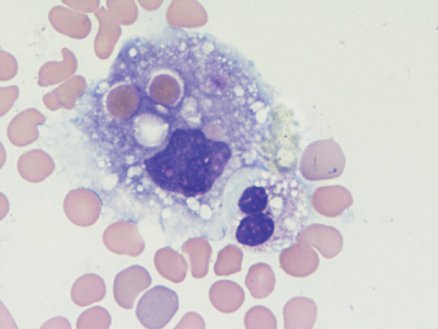
血液所見:赤血球 232万、Hb 7.1 g/dL、Ht 22%、白血球2,200(分葉核好中球 21%、好酸球 0%、好塩基球 0%、単球 19%、リンパ球 40%、異型リンパ球 20%)、血小板 1.8万。血液生化学所見:総蛋白 6.5 g/dL、アルブミン 3.1 g/dL、直接ビリルビン 0.5 mg/dL、間接ビリルビン 2.2 mg/dL、AST 36U/L、ALT 32 U/L、LD 1,580 U/L(基準 120~245)、尿素窒素 16 mg/dL、クレアチニン 0.8 mg/dL、血糖 78 mg/dL。CRP 2.1 mg/dL。骨髄血塗抹May-Giemsa染色標本を別に示す。
この患者に認められるのはどれか。
a. 赤芽球低形成
b. BCR/ABL融合遺伝子
c. 血清フェリチン高値
d. GPIアンカー蛋白の欠損
e. 血清ハプトグロビン高値
