35 歳の男性。健診で高血圧と腎機能低下を指摘されて来院した。自覚症状はない。父が血液透析を受けていたが、 1 年前にクモ膜下出血で突然死した。
胸腹部に異常を認めない。下腿に浮腫を認めない。
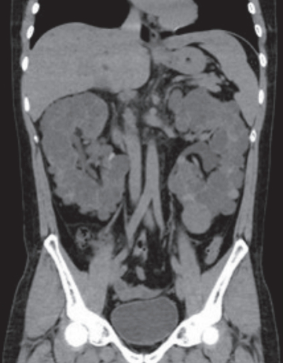
尿所見:蛋白(-)、糖(-)、潜血(-)。血液所見:赤血球 444 万、Hb 12.7 g/dL、Ht 39 %、白血球 4,900、血小板 21 万。血液生化学所見:総蛋白 7.3 g/dL、アルブミン 4.8 g/dL、尿素窒素 19 mg/dL、クレアチニン 1.9 mg/dL、尿酸 6.6 mg/dL、Na 142 mEq/L、K 4.5 mEq/L、Cl 107 mEq/L、Ca 9.1 mg/dL。腹部単純 CT 冠状断像を別に示す。
この患者の治療方針を決定するために必要な検査はどれか。
a. 腎生検
b. FDG-PET
c. 頭部 MRA
d. 胸部エックス線撮影
e. 上部消化管内視鏡検査
