MENU
home
菌娘らぼ
医学語呂なう
過去問チャート
ホルモンズ
医療電卓
blog
about
第109回 A問題 29問目 - 109A029
109A
必修問題
歯根破折
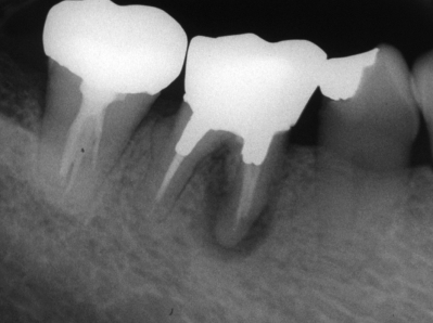
垂直性歯根破折が疑われる下顎右側第一大臼歯のエックス線写真を別に示す。診断に有用なのはどれか。1つ選べ。
a. 温度診
b. 透照診
c. 咬合音検査
d. 楔応力検査
e. 歯周ポケット検査
解答を見る
e. 歯周ポケット検査
前のページへ
次のページへ