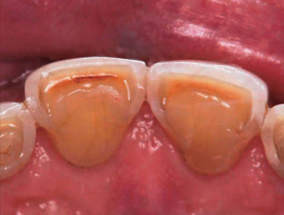
50歳の男性。上顎中切歯の舌感不良を主訴として来院した。5年前に気付いていたが、最近特に気になってきたという。初診時の口腔内写真を別に示す。
原因となり得るのはどれか。2つ選べ。
a. 破折
b. 齲蝕
c. 酸蝕
d. 咬耗
e. 着色
前のページへ
次のページへ