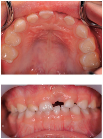
4歳の女児。3か月前に外傷により上顎左側乳中切歯が脱落し審美不良を訴え来院した。創傷治癒後の口腔内写真を別に示す。
適切な対応はどれか。1つ選べ。
a. 経過観察
b. ブリッジ装着
c. 可撤保隙装置装着
d. スペースリゲーナー装着
e. Nanceのホールディングアーチ装着
前のページへ
次のページへ