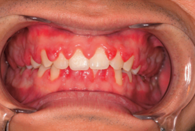
32歳の男性。歯肉の腫脹と出血を主訴として来院した。数日前から微熱と倦怠感を自覚しているという。初診時の口腔内写真を別に示す。血液検査結果を表に示す。
追加すべき検査項目はどれか。1つ選べ。
a. PSA
b. CEA
c. SCC抗原
d. 白血球分画
e. Bence Jones蛋白
前のページへ
次のページへ