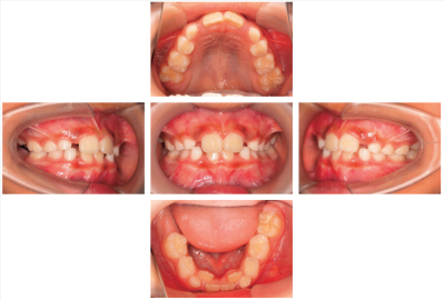
7歳の男児。歯の萌出遅延を近医で指摘され来院した。初診時の口腔内写真とエックス線写真を別に示す。
今後予想されるのはどれか。1つ選べ。
a. 上顎側切歯の高位
b. 下顎犬歯の早期萌出
c. 上顎右側第一大臼歯の挺出
d. 下顎右側第二大臼歯の遠心傾斜
e. 下顎右側第二乳臼歯の晩期残存
前のページへ
次のページへ