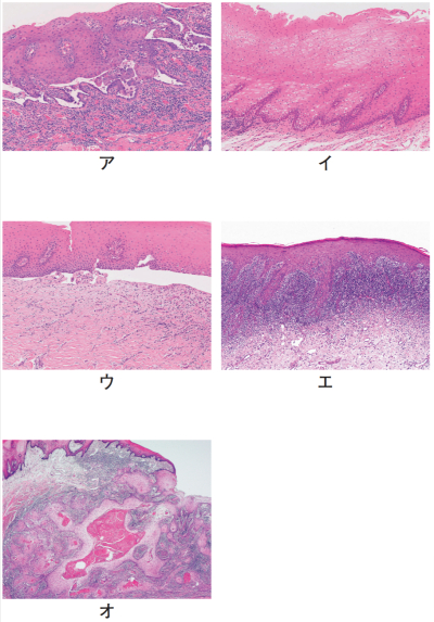
54歳の女性。口唇と口腔粘膜の疼痛と白斑を主訴として血液内科より紹介された。最近になって同部の白斑に気付き口腔乾燥感と痛が増悪してきたという。急性骨髄性白血病の診断で3か月前に末梢血幹細胞移植を施行された。口腔内写真を別に示す。別に示す。
H-E染色病理組織像のうち、本症例と類似の口腔粘膜の病理組織学的所見を示すのはどれか。1つ選べ。
a. ア
b. イ
c. ウ
d. エ
e. オ
前のページへ
次のページへ