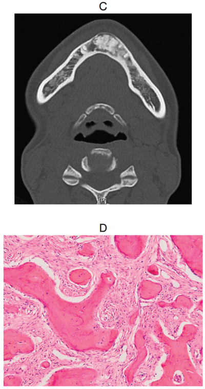
34歳の女性。下顎前歯部歯肉の膨隆を主訴として来院した。3か月前に気付いたが疼痛がないためそのままにしていた。膨隆は徐々に増大しているという。口腔内写真、エックス線写真、CT及び生検時のH-E染色病理組織像を別に示す。
診断名はどれか。1つ選べ。
a. 骨腫
b. 骨肉腫
c. 歯牙腫
d. 骨形成線維腫
e. エナメル上皮線維象牙質腫
前のページへ
次のページへ