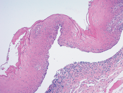
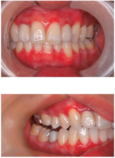
38歳の女性。歯肉の接触痛を主訴として来院した。3か月前から歯肉に水疱ができて、すぐに潰れしみるようになり、次第に口腔内全体がヒリヒリ痛むようになったという。初診時の口腔内写真と生検時のH-E染色病理組織像を別に示す。
発症との関連が指摘されているのはどれか。1つ選べ。
a. SS-A
b. BP180
c. TSH受容体
d. デスモグレイン1
e. デスモグレイン3
SS-A シェーグレン症候群
BP180 類天疱瘡
TSH受容体 甲状腺疾患
デスモグレイン 尋常性天疱瘡
前のページへ
次のページへ