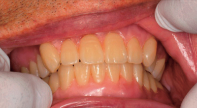
77歳の男性。上顎全部床義歯が外れやすいことを主訴として来院した。検査の結果、上下顎全部床義歯を製作することとした。人工歯排列後に行っている検査中の写真を別に示す。
この過程における確認事項はどれか。2つ選べ。
a. 舌房
b. 咀嚼運動
c. 被圧変位
d. 最大咬合力
e. スマイルライン
前のページへ
次のページへ